What We Do
We are committed to deeply integrating "industry, academia, research, and medicine," closely combining theoretical research with clinical practice. We are not only technology developers but also explorers in the medical field. Our collaboration with top-tier hospitals allows us to directly address real-world medical challenges, ensuring that our technologies and products genuinely serve clinical needs and create actual value.
Empowering Smart Healthcare, Driving Specific Disease Research
One of our core activities is the development of large models for specific disease areas. We firmly believe that the value of artificial intelligence in healthcare lies not only in enhancing general capabilities but also in providing deep insights and precise empowerment for specific diseases.
Data Integration and Governance
We collaborate closely with leading top-tier hospitals to systematically aggregate and integrate multi-source heterogeneous clinical data, including but not limited to:
Medical Imaging Data
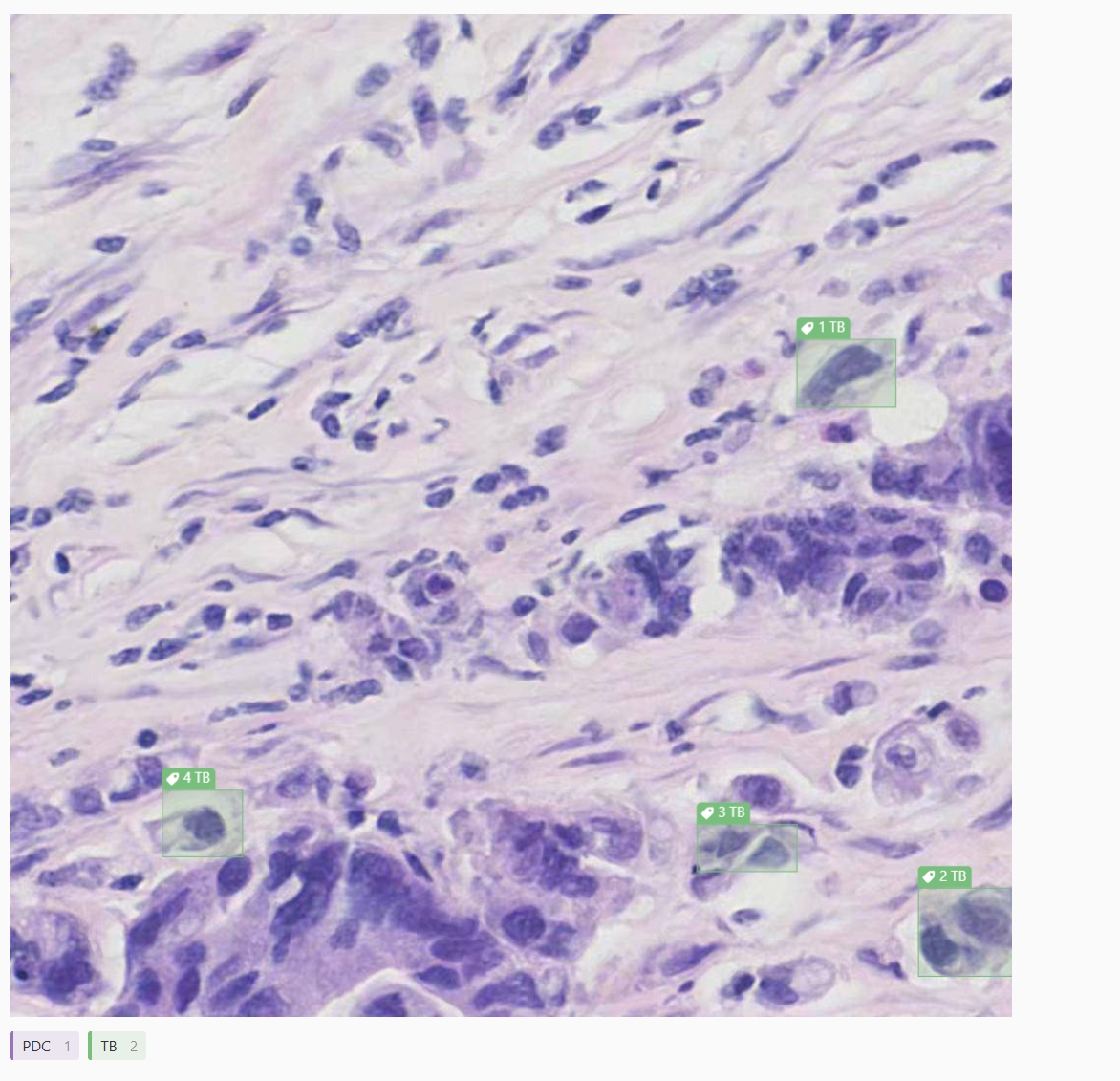
High-resolution images such as pathology pictures, CT, MRI, X-ray, ultrasound, etc.
Structured Electronic Medical Records
Including test reports, diagnostic records, surgical records, and more.
Unstructured Clinical Data
Textual information such as medical records, nursing notes, speech transcripts, etc.
Multi-omics Data
Bio-molecular data such as genomics, proteomics, etc.
Model Building and Training
Based on extensive specific disease data, we employ cutting-edge deep learning technologies to build and train large multimodal, multitask models. These models can understand and process different types of data, extract pathological features from complex images, mine potential disease associations from texts, and learn the diagnostic and decision-making logic of human experts.
Clinical Validation and Application
We collaborate with clinical doctors to iterate and validate models, ensuring that the insights and decision support suggestions provided by the models are reliable, interpretable, and seamlessly integrated into real clinical workflows. Our goal is to create an "intelligent brain" that aids doctors in precise diagnosis, personalized treatment planning, and disease risk prediction, ultimately improving healthcare quality and advancing breakthrough progress in medical research.


Medical Data Product Development
Creating Data-Driven Intelligent Tools
To better manage and utilize healthcare data resources, we have developed a series of efficient and intelligent medical data products that provide researchers and clinicians with powerful data processing capabilities.
Core (Precision Medical Assistance System)
Targeting hospitals and clinicians, the Core system integrates multimodal medical data (such as imaging, medical records, genomics, etc.), leveraging specific disease large models for in-depth analysis and integration, providing scientific evidence for the diagnosis and treatment planning of complex diseases like cancer, and helping achieve precision medicine.
Care (Outpatient Follow-up Management Platform)
Targeting patients, the Care platform is dedicated to providing convenient and efficient outpatient health management services. Through intelligent data collection and analysis, it helps patients with disease follow-up, health monitoring, and rehabilitation management, achieving continuous and personalized medical care.
Intelligent Retrieval System
Our developed medical data retrieval and medical image retrieval systems help researchers quickly and accurately locate needed information in large databases. Whether searching for specific medical records or retrieving similar medical images, our systems greatly enhance research efficiency and accelerate knowledge discovery.
Medical Data Annotation Platform
We have constructed an efficient and professional medical data annotation tool that supports detailed annotation of various types of data such as images, medical records, and test reports, providing a solid foundation for high-quality algorithm training.






Who We Are
Established in May 2023, the medical data intelligence laboratory is part of the Information Hub of the Hong Kong University of Science and Technology (Guangzhou), integrating educating, research, and innovative practice. In collaboration with Anbiping, it aims to transform from "model-centric" to "data-centric", focusing on:
专注领域
Solving cutting-edge AI application issues in the field of pathological diagnosis
We are committed to exploring and applying cutting-edge artificial intelligence technologies in the field of pathological diagnosis to solve complex problems in actual clinical practice.
Designing efficient automatic and semi-automatic annotation algorithms
For a vast amount of pathological diagnostic data, we develop efficient automatic and semi-automatic annotation algorithms to enhance clinical utility and provide diagnostic result interpretation references.
Overcoming technical challenges in real-world applications
We focus on overcoming technical challenges in real-world applications to promote the intelligent development of the pathology industry and transform scientific research results into practical applications.
我们的使命
Our lab focuses on the combination of industry, education and research, promotes the transformation and application of scientific research results, and contributes to the development of the medical and health industry in the Guangdong-Hong Kong-Macao Greater Bay Area.
项目支持
This project is supported by Guangzhou LBP Medicine Science & Technology Co., LTD. And under development among HKUST(GZ).
Our Partners











